Pour le traitement de ces pathologies, les lasers sont devenus aujourd’hui irremplaçables. Les traitements sont beaucoup plus confortables pour les patients, sans douleur postopératoire et sans adjonction médicamenteuse importante.  
Les parodontites sont dues à des associations de bactéries qui sont microscopiques, souvent résistantes aux antibiotiques et qui ne peuvent en aucun cas être totalement éradiquées par de simples curetages.  
Les déchaussements dentaires surviennent souvent après 40 ans mais les parodontites  les plus agressives atteignent souvent les adolescents ou les individus jeunes chez qui le développement peut être extrêmement rapide.  
 

Parodontite agressive avec saignements et mobilités dentaires

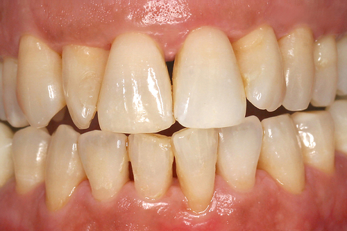
Gencives douloureuses, dents mobiles, saignements au brossage ….. Tous ces symptômes doivent vous faire consulter au plus vite (fig.18).  
 


Il est aujourd’hui possible de guérir ces maladies et de conserver ses dents naturelles, mais plus le traitement est mis en place de manière précoce, plus le résultat est stable avec une conservation de l’esthétique.  
Le chirurgien dentiste utilise un rayonnement pénétrant sous eau oxygénée à 10 volumes après une préparation initiale méticuleuse.  
Le résultat est quasi immédiat avec très peu de suites opératoires.  
En quelques semaines, la gencive est cicatrisée avec une régénération des tissus tout à fait satisfaisante (fig.19).  
 
Fig. 19  
Amélioration clinique en quelques semaines  


IMPORTANT : la parfaite réussite de ce type de traitement nécessite une hygiène bucco dentaire complémentaire simple mais rigoureuse qui doit parfaitement être expliquée par votre praticien  
Une séance de maintenance annuelle ou bi annuelle est souhaitable afin de biostimuler au laser la cicatrisation gingivale obtenue.  
 

source:  
Dr Gérard Rey

Retour aux soins par laser