
LES LASERS POUR GUERIR LES INFECTIONS AUTOUR DES IMPLANTS (PERI IMPLANTITES)
Le traitement est identique à celui des parodontites puisqu’il s’agit également d’éradiquer les bactéries responsables de ces pathologies.
L’état initial (fig.26) montre une péri implantite généralisée au maxillaire et à la mandibule.
Fig. 26
Infection généralisée des implants dentaires
Cette maladie infectieuse est traitée avec un rayonnement laser pénétrant après une préparation initiale et une oxygénation des tissus. (fig.27)
Fig. 27
Traitement décontaminant sous eau oxygénée à 10 volumes
Et comme pour les parodontites, l’amélioration est très rapide.
Le patient doit conserver une hygiène bucco dentaire adaptée à sa situation avec l’utilisation quotidienne de l’hydropulseur.
La stabilité du résultat est en général très satisfaisante si le patient conserve une bonne hygiène bucco dentaire et effectue les séances de maintenance prévues (fig. 28)
Fig. 28
Cicatrisation gingivale et stabilité du résultat
GUERISON DES INFECTIONS OSSEUSES ET PREPARATION A LA MISE EN PLACE DES IMPLANTS
Les infections des dents provoquent des lésions osseuses avec disparition du volume osseux au fur et à mesure que l’infection se propage dans l’os des maxillaires. (fig. 29)
Fig. 29
Les infections dentaires provoquent des pertes osseuses importantes
Cela interdit souvent le port d’une prothèse correcte ou la mise en place d’implants en remplacement des dents absentes.
Un rayonnement laser pénétrant utilisé sous eau oxygénée à 10 volumes permet de décontaminer tout l’os du maxillaire après l’extraction des dents (fig. 30)
Fig. 30
Décontamination du maxillaire après extractions
Cela permet d’envisager immédiatement une régénération osseuse qui est effectuée le jour même des extractions et le résultat à 5 mois postopératoires (fig.31) montre une régénération complète du massif osseux.
Fig. 31
Régénération osseuse du maxillaire
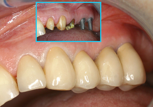
Ce volume osseux obtenu permet facilement la mise en place d’implants en remplacement des molaires absentes et la mise en place d’une prothèse fixe fonctionnelle et esthétique (fig.32)
Fig. 32
Mise en place des implants et prothèse finale